CASE
症例紹介
2026.01.26
神経疾患
猫の腰椎亜脱臼
脊椎の骨折および亜脱臼は大きな外力が加わった時にそのほとんどが生じます。その外力には回転、曲げ、剪断、軸性の力があり、程度・力の種類により骨折/脱臼様式が異なってきます。
以前より脊椎の外傷による安定性の評価が議論されてきていますが、脊椎を脊柱管底より背側領域の外傷、腹側領域の外傷およびその両側領域と分類してくることが多かった(Smith and Walter 1985)が外傷のほとんどが両側に生じることから、安定性に関与する椎骨、関節突起、椎間板の3つの領域のどこに外傷が生じているかを評価することでその不安定性をある程度知ることが可能とされております。(Small Animal Spinal Disorder)
今回の症例は猫であり、レントゲン/CTより第5-6腰椎間での亜脱臼であり、関節突起間関節の脱臼があるが脊椎の構造および椎間板構造の傷害が最小限と判断しました。
そのために、脱臼した関節突起間関節を整復後、φ0.7mmの田島式キルシュナーワイヤーにて固定し瑞穂のアリゲータープレートによる棘突起を固定補強する方式を選択しました。
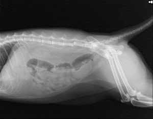
術前レントゲン;
コメント;
第5-6腰椎間でのずれが確認されます。VD像でも横方向のずれも確認されます。
術後レントゲン
コメント;
術前に存在した腰椎間のずれは整復され、4本のφ0.7mmの田島式Kワイヤーとアリゲータープレートにて固定されています。
