症例紹介
乳び胸
乳び胸は主に腹腔内のリンパ液を集め静脈に戻す胸管が破れることで胸腔内に白濁した乳びが蓄積する疾患です。現在も根本的な原因は不明ですが、その治療方法はさまざまと考案され多数の術式を組み合わせることでその治療成績が飛躍的に向上してきております。
(胸管結紮と心膜切除 80~90% Fossum 2004)(胸管結紮と乳び槽破砕 88% Hayashi K 2005)
今回は、1回目の手術では胸管結紮と心膜切除を実施しました。術後7日目で再度胸腔内に乳びを認めたために2回目の手術を実施しました。
少数の症例報告で1回目に実施していない術式を胸管結紮に組み合わせることで再発を根治できたというものがあり、そのために2回目の手術では胸管結紮と乳び槽破砕を実施しました。
2回目の手術以降は再発もなく順調に経過しております。
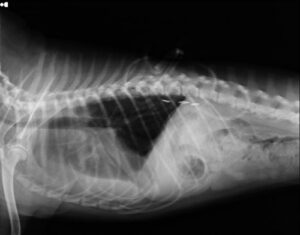
術前レントゲン
胸水が呼吸困難を生じさせるレベルに貯留していました。術前に胸管の走行を知るために膝窩リンパ節造影を試みましたが胸管を造影することはできませんでした。
術中の写真(1回目)
画面の上が頭側です。右第9肋間から開胸し開胸器にて術野を確保しているところです。白濁の乳びが多量に貯留していました。
インドシニアグリーン色素にて腸間膜リンパ節を介して胸管を可視化している最中です。
大動脈直上の縦隔胸膜を切開し胸管へのアプローチの準備をしているところです。
Cアームにて結紮前の胸管の走行を造影剤にて確認しているところです。
吸引器の左に3本緑に染まった胸管が確認されます
チタンクリップにて胸管を2箇所結紮したところです
2箇所の結紮では胸管を完全に遮断することができませんでした。
コメント;
2箇所の結紮では胸管を完全に遮断することができませんでした。画面左が頭側です。
さらに尾側に2本のチタンクリップで結紮することで胸管を完全に遮断できました。
コメント;
右第4肋間より心膜切除を実施したところです
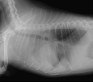
2回目の手術写真
再発時のレントゲンです。クリップが外れているなどの所見はありませんでした
右第10肋間より開胸しました。緑色を呈している部位が前回のクリップの位置です。尾側が2回目での結紮部位です
腹部正中切開から左腎臓を被膜切開により腹側に反転させました。大動脈直上の乳びが淡い緑のラインとして確認され、その先に乳び槽の塊が確認されます。これを破砕して切除しました
