CASE
症例紹介
2026.01.26
整形外科疾患
大型犬の撓尺骨粉砕骨折
撓尺骨骨折と言ったら小型犬がメインでありますが今回のように大型犬の撓尺骨骨折もまれに経験することがあります。
小型犬に比較し骨周囲の筋量もあり癒合不全の発症は比較的すくないですが、大型の分固定の力学的強度を慎重に判断する必要があると思われます。
今回は大型犬かつ骨折から約1週間は経過していると思われる症例でした。時間経過のために骨折部には仮骨がすでに生じており周囲の筋膜との癒着も激しい状態でした。
本来時間の経過も少ない場合は創外固定を選択していたと思われますが、飼育環境も考慮してALPSによるdual platingを選択しました。ダブルプレートは遠位の骨片の長さが短いために実施しております。同時に上腕骨大結節からの海面骨移植も実施しました。
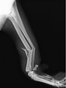
術前レントゲン
コメント;
撓尺骨遠位1/3での粉砕骨折であり、かつ遠位の骨片は粉砕骨折の安定に必要なスクリューの数を確保するのが困難なほど短いものであった。また、遠位には亀裂の存在も示唆された。
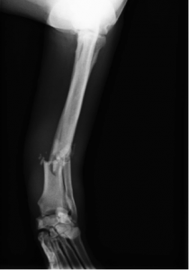
術後レントゲン
コメント;
短い遠位骨片にはφ2.7mmのコルチカルスクリュー1本とφ4.0mmのロッキングスクリュー2本を使用しました。KYON社のALPSプレートはその形状からプレートを並列した場合、骨に対するプレートの幅を他のDCPプレートなどと比較して最小限にすることが可能でありダブルプレートを実施する場合には非常に有効と思われます。
