症例紹介
肋骨に発生した骨肉腫
肋骨に起因する腫瘍のほとんどが骨肉腫か軟骨肉腫です。他はまれですが、線維肉腫、血管肉腫、軟部組織肉腫、平滑筋肉腫発生の報告があります。軟骨肉腫の場合は転移がなくマージンフリーで切除可能な場合の予後は良いとされていますが、骨肉腫の場合は四肢の骨肉腫と同様の生物学的挙動をとるとされています。(Veterinary Surgical Oncology)
今回は左最後肋骨の中央に発生しており、かつ体壁の内側に成長していたために発見が遅れたと推測されます。サイズはφ10cm大で皮膚への固着はありませんでした。CTでは、肺野の転移像はなく脊椎への浸潤も確認されませんでした。
手術は、左肋骨の4本をマージンとして切除し一部横隔膜も切除しました。再建は、横隔膜の前進縫合による胸腔閉鎖と、広背筋フラップを使用した体壁の再建を実施しました。広背筋フラップで被覆困難な場合はメッシュによる閉鎖も考慮していましたが合併症のリスクを考慮する必要があります。
Liptakらによる報告では自己組織、人工物、その両方を体壁の再建に使用した場合の合併症率を示しており、人工物のみでは12.8倍、複合の場合は3.0倍、自己組織を使用した場合より合併症率が高かったとしています。(Laptik 2008)
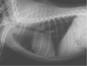
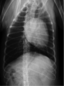
術前レントゲン
コメント;
明らかな肺転移像はありませんでした
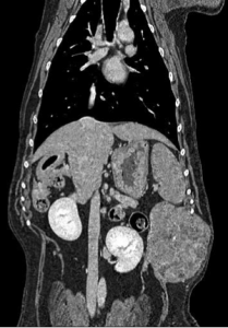
コメント;
CTより肋骨から派生した腫瘍が疑われました。CTでも明らかな肺転移は確認されませんでした。
術中の写真
コメント;
皮膚はサージカルマージンとして約3cmを確保しました。その後、筋膜のマージンも同様に確保するために縫合しにてマーキングしながら筋切開を実施しました。
コメント;
画像上が頭側、腹横筋・腹膜を切開し腹腔内から腫瘍を横隔膜越しに見ている像
コメント;
画面左が頭側、腹腔内に突出した腫瘍の半分を切除しにかかっているところ
コメント;
画面左が頭側、肋骨を骨切りし腫瘍の頭側を切除しているところ
コメント;
腫瘍を完全に切除した後の写真、肋骨の断端、横隔膜が観察される
コメント;
画面左が頭側、横隔膜の頭側に肺が観察される
コメント;
画面左が頭側、横隔膜を前進させ壁側胸膜、肋間筋に縫合した後で8Frの多目的チューブにて胸腔内の空気を抜去しました
コメント;
広背筋フラップを作成しているところ
コメント;
広背筋フラップと内・外腹斜筋、腹横筋を使用して腹壁を再建したところ
