症例紹介
尿管ステント
近年診断技術の向上もあってか猫の尿管結石の症例が増えてきております。以前は尿管切開による結石除去が実施されていましたが術後の縫合部の狭窄などの合併症が生じることも少なくなく、そのために人工物である尿管ステントを設置する技術が獣医療にも普及してきております。
尿管ステント症例が増えてくることでそのデメリットも理解されるようになってきております。特に尿管ステントによる尿管炎、ステントの破綻、ステンドの詰まりなどの合併症が報告されてきており、その症例適応には慎重な判断が必要となると思われます。
今回は左右の尿管結石であり、CT検査から右では尿管中央にて結石があり腎盂にも小さな結石が確認された。左では近位の蛇行した尿管に小さな結石があり腎盂に多数の結石を確認。
腎盂での結石の存在、尿管結石が複数あること、結石の存在箇所より遠位が狭窄している可能性が高いことから尿管ステントの適応と判断しました。
右は結石の除去後、その遠位にダイレーターを進めたところ膀胱まで行かずそのために狭窄部位にて膀胱尿管吻合を実施しました。
左では近位の蛇行部にてガイドワイヤーも入らず一度処置を断念しました。術後、軽度の尿腹があり、2回目の手術にて、尿管切開部からの尿漏れはなかったが腎臓の留置針の刺入部からの尿漏れが確認された。2回目の手術では蛇行部を迂回して近位の尿管と蛇行部より遠位の尿管をステントを介して吻合し尿路の確保を再建することができた。
腎臓の留置針からの尿漏れは腎臓の被膜と腹膜を縫合することでシールし、腹膜透析用チューブを設置し閉腹しました。
術後、尿腹も徐々に改善しチューブも抜去することができました。
術後は、尿管炎や感染のモニターを継続的に実施し経過を慎重に観察しております。
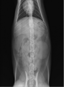
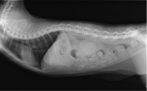
術前のレントゲン
コメント;
VD像では不明瞭だがラテラル像にて腎臓の尾側に結石が確認できます。
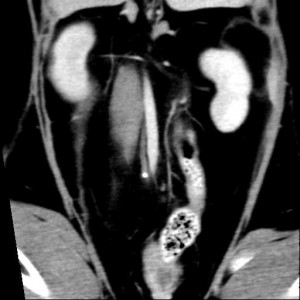
コメント;
画面左が右の尿管結石の位置での断面で、右が左尿管近位の蛇行した尿管内の結石を示している像です。
コメント;
術後数日後に排泄性尿路造影した写真です。左右に2.1Frの尿管ステントと腹腔内に透析用のチューブが留置されています。
